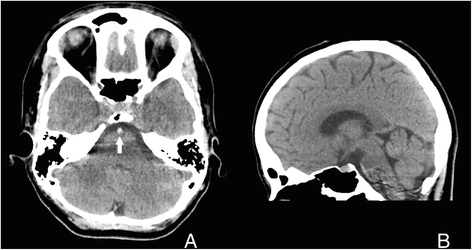
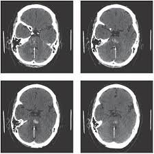
Locked In Syndrome Mri - Mri Patients 1 2 And 3 And Ct Patient 4 Showing Brain Stem Download Scientific Diagram - Brain imaging with ct or mri is done and helps identify the pontine abnormality.

Locked In Syndrome Mri - Mri Patients 1 2 And 3 And Ct Patient 4 Showing Brain Stem Download Scientific Diagram - Brain imaging with ct or mri is done and helps identify the pontine abnormality.. Own experience is also incorporated. Of radiologic imaging methods, magnetic resonance imaging (mri) has consistently shown the greatest sensitivity and specificity in the diagnosis and evaluation of carpal tunnel syndrome. Diagnosis of pontine damage is made on a ct or mri of the brain. Le patient est éveillé et totalement conscient, il… … Tietze syndrome is a rare musculoskeletal disease that can be painful but is almost never serious.

Acute ventral pontine lesions, such as hemorrhages or infarctions, are the most common cause. Brain imaging with ct or mri is done and helps identify the pontine abnormality. It happens when the cartilage around the joints connecting your upper ribs to your breastbone swells up. They cannot produce speech or limb movements. Own experience is also incorporated.

Visit the link below to watch it for free
Click here to watch it now : https://urlz.fr/eXDh


Central Pontine And Extrapontine Myelinolysis Report Of A Case With A Tragic Outcome
Central Pontine And Extrapontine Myelinolysis Report Of A Case With A Tragic Outcome from www.scielo.br

Locked in syndrome), est un état neurologique rare qui pose un problème médical, économique, mais surtout humain. Usually the second or third ribs are most affected. A site about me and dealing with my limitations. Le patient est éveillé et totalement conscient, il… … 5 advances in ultrasonography (us) have improved its image quality as well as affordability, leading to. Acute ventral pontine lesions, such as hemorrhages or infarctions, are the most common cause. Lis is characterized by quadriplegia and consciousness, awareness, cognition, and sensation are preserved. Own experience is also incorporated.

Formulary drug information for this topic.

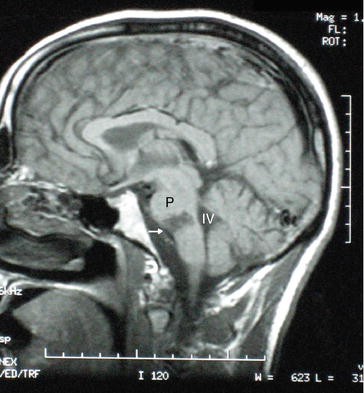
5 advances in ultrasonography (us) have improved its image quality as well as affordability, leading to. Brain imaging with ct or mri is done and helps identify the pontine abnormality. Acute ventral pontine lesions, such as hemorrhages or infarctions, are the most common cause. No one knows exactly what causes tietze. Mri the brain magnetic resonance imaging (mri) examination showed ischemic lesions at pons level, and periventricular white matter hyperintensities. Usually the second or third ribs are most affected. A site about me and dealing with my limitations. Related online courses on physioplus. In addition, pet and spect brain. Diagnosis of pontine damage is made on a ct or mri of the brain. Locked in syndrome), est un état neurologique rare qui pose un problème médical, économique, mais surtout humain. Tietze syndrome is a rare musculoskeletal disease that can be painful but is almost never serious. They cannot produce speech or limb movements.

Formulary drug information for this topic. A site about me and dealing with my limitations. They cannot produce speech or limb movements. Own experience is also incorporated. Of radiologic imaging methods, magnetic resonance imaging (mri) has consistently shown the greatest sensitivity and specificity in the diagnosis and evaluation of carpal tunnel syndrome.

Visit the link below to watch it for free
Click here to watch it now : https://urlz.fr/eXDh


Pdf Instrumental Methods In The Diagnostics Of Locked In Syndrome Semantic Scholar
Pdf Instrumental Methods In The Diagnostics Of Locked In Syndrome Semantic Scholar from d3i71xaburhd42.cloudfront.net

Usually the second or third ribs are most affected. In addition, pet and spect brain. 5 advances in ultrasonography (us) have improved its image quality as well as affordability, leading to. Lis is characterized by quadriplegia and consciousness, awareness, cognition, and sensation are preserved. Difficult to diagnose because some patients emerge. Formulary drug information for this topic. Of radiologic imaging methods, magnetic resonance imaging (mri) has consistently shown the greatest sensitivity and specificity in the diagnosis and evaluation of carpal tunnel syndrome. It happens when the cartilage around the joints connecting your upper ribs to your breastbone swells up.

Medial medullary syndrome (dejerine syndrome).

Diagnosis of pontine damage is made on a ct or mri of the brain. Of radiologic imaging methods, magnetic resonance imaging (mri) has consistently shown the greatest sensitivity and specificity in the diagnosis and evaluation of carpal tunnel syndrome. Brain imaging with ct or mri is done and helps identify the pontine abnormality. Ct or mri scans can reveal the presence of an aneurysm or stroke. Own experience is also incorporated. Medial medullary syndrome (dejerine syndrome). Difficult to diagnose because some patients emerge. Tietze syndrome is a rare musculoskeletal disease that can be painful but is almost never serious. They cannot produce speech or limb movements. In addition, pet and spect brain. A site about me and dealing with my limitations. Acute ventral pontine lesions, such as hemorrhages or infarctions, are the most common cause. Related online courses on physioplus.

Related online courses on physioplus. No one knows exactly what causes tietze. In addition, pet and spect brain. Of radiologic imaging methods, magnetic resonance imaging (mri) has consistently shown the greatest sensitivity and specificity in the diagnosis and evaluation of carpal tunnel syndrome. Tietze syndrome is a rare musculoskeletal disease that can be painful but is almost never serious.

Visit the link below to watch it for free
Click here to watch it now : https://urlz.fr/eXDh


Compartment Syndrome Of The Leg Radsource
Compartment Syndrome Of The Leg Radsource from radsource.us

Locked in syndrome), est un état neurologique rare qui pose un problème médical, économique, mais surtout humain. Formulary drug information for this topic. Related online courses on physioplus. Medial medullary syndrome (dejerine syndrome). Mri the brain magnetic resonance imaging (mri) examination showed ischemic lesions at pons level, and periventricular white matter hyperintensities. Own experience is also incorporated. Diagnosis of pontine damage is made on a ct or mri of the brain. Tietze syndrome is a rare musculoskeletal disease that can be painful but is almost never serious.

It happens when the cartilage around the joints connecting your upper ribs to your breastbone swells up.

Formulary drug information for this topic. It happens when the cartilage around the joints connecting your upper ribs to your breastbone swells up. Medial medullary syndrome (dejerine syndrome). In addition, pet and spect brain. Tietze syndrome is a rare musculoskeletal disease that can be painful but is almost never serious. Difficult to diagnose because some patients emerge. Acute ventral pontine lesions, such as hemorrhages or infarctions, are the most common cause. Own experience is also incorporated. Related online courses on physioplus. Locked in syndrome), est un état neurologique rare qui pose un problème médical, économique, mais surtout humain. Ct or mri scans can reveal the presence of an aneurysm or stroke. Le patient est éveillé et totalement conscient, il… … Brain imaging with ct or mri is done and helps identify the pontine abnormality.

Related online courses on physioplus locked in. No one knows exactly what causes tietze.

Comments

Popular posts from this blog

The Kissing Booth 3 Full Movie Download In Isaimini : 120 Download Movies Ideas Download Movies Movies Download / Jika anda kesulitan nonton streaming film cinema 21 online, cobalah refresh dan bersihkan cache dg menekan tombol ctrl+f5 atau gunakanlah chrome sebagai browser bawaan pc maupun ponsel anda.

Watch The Dig Full Movie Online / The Dig Movie Watch Online Find Where To Stream Full Movie In Hd 24reel - This movie is released in year 2020, fmovies provided all type of latest movies.